![]()
![]()
0594-88-5570
![]()
10:00~13:00
15:00~19:30
※土曜・日曜は
9:00〜13:00/14:30〜18:00
※木曜・祝日・隔週月曜・
日曜は休診です
![]()
虫歯などで、歯の一部が損なわれてしまった時には、その部分を補うために、代わりの材料を詰めたりかぶせたりします。かつてはその際に、金属が用いられることがほとんどでした。
一般的に「銀歯」といわれるものは、様々な金属からなる歯科用の合金で作られていますが、その金属が原因でアレルギー症状を引き起こす場合もあります。
銀歯では見ための印象が好ましくない為、機能の回復だけでなく、治療後も白く自然な色合いの天然の歯のように審美的にも改善し、心身ともに健康を取り戻すことが審美歯科の目的です。
![]()
クラウンとは虫歯の治療で大きく歯を削った後に被せる冠状の人工の歯の事で、一般的には「被せ物」や「さし歯」と呼ばれます。
保険適用のクラウンは、奥歯は金属(銀歯)、前歯は金属の内部フレームに表面がプラスチック樹脂(レジン)で作られますが、見た目(変色)や耐久性(腐食)の問題があります。
セラミッククラウンは保険適用外ですが硬度が高く丈夫で、長く使用しても変色することがほとんどありません。
生体親和性が高く、天然歯と極めて近い色調に仕上げることが出来ます。
●セラミッククラウンの素材を簡単にご案内
■ジルコニアセラミッククラウン
セラミックの内部フレームに強度の高いジルコニアを使用し高い審美生と強度の両立を目指した新素材のクラウン。オールセラミッククラウンよりも割れにくいという利点があり、かみ合わせの強い部位にも安心してお選びいただけます。
従来は難しかったブリッジ治療も金属を使わずセラミックのみで行えます。時間がたっても変色せずたばこのヤニやコーヒーなどの色素による着色もしにくい素材です。
■オールセラミッククラウン(インセラム、E-MAX)
冠全体がセラミック素材(陶材)でできたクラウン。メタルボンドセラミッククラウンよりも透明度が高く天然の歯質に近く仕上がりますが、割れやすいのでかみ合わせが強い部分には使用できません。
汚れや歯垢(プラーク)がつきにくく、長期間使用しても黒ずんだり黄色く変色したりしないという特性があります。また、金属をまったく使っていないので、金属アレルギーの方にも安心して使用できます。
■メタルボンドセラミッククラウン
金属の内部フレームの表面に陶材(セラミック)を焼き付けたクラウン。フレームに金属を使用している為、割れにくく、かみ合わせの強い部位にも使用することができます。
表側はレジンを含まない完全なセラミック素材ですので、汚れや歯垢(プラーク)がつきにくく、長期間使用しても変色の心配がありませんが、フレームの種類によっては金属の溶出により歯茎の変色を起こすことがあります。
オールセラミッククラウンに比べると透明感が劣ります。
■ハイブリッドセラミッククラウン
レジン(プラスチック樹脂)とセラミック(陶材)を混ぜ合わせた素材でできたクラウン。保険適用のレジン材料(プラスチック樹脂)よりも変色しにくく、自然な色合いで作製することが可能です。
オールセラミッククラウンやメタルボンドセラミッククラウンと比べると、硬すぎないので割れにくく、周囲の歯やかみ合う歯を痛めることはありませんが、透明感や色調は劣り、経年的に変色が起こります。
![]()
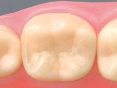
インレーとは一般的には「詰め物」と呼ばれます。奥歯の表面に比較的小さな虫歯が出来た場合、虫歯を削り取った部分に金属やセラミックの人工歯を詰める歯科治療法です。
保険で奥歯を詰める治療を行う場合は金属、またはレジン(プラスチック樹脂)を使用します。金属の詰め物は金属色が目立ち審美性に欠けていたり、金属アレルギーの心配があるなどの欠点があります。レジンは変色しやすいという性質を持ち、強度も低いなどの欠点があります。 また、安価な素材のインレーは素材の特性上細かい調整がしにくいため、歯とインレーの間に隙間ができやすくなります。この隙間には、汚れがたまりやすく、再び虫歯になるリスクが高まります。
セラミックインレーは保険適用外のため治療費が高価になりますが、天然の歯と変わらない自然な白さと透明感がある美しい仕上がりにすることが出来ます。水分や汚れを吸収しやすいレジン(プラスチック樹脂)と異なって変色もしにくいため時間が経っても審美性が損なわれにくく、レジンよりも丈夫で長期間の使用に耐えるという利点があります。
保険治療で入れた金属のインレーを、セラミックインレーに取り換えることで、天然の歯と見違えるような自然で美しい歯にすることが出来ます。
●セラミックインレーの素材を簡単にご案内
■オールセラミックインレー(E-MAX)
セラミック素材(陶材)でできたインレーです。セラミックのみでできているので見ためが良く、経年的な変色もなく、汚れや歯垢(プラーク)も付きにくいですが、割れやすいという欠点があります。
金属を使用しないので、金属アレルギーの心配もありません。
■ハイブリッドセラミックインレー
レジン(プラスチック樹脂)とセラミック(陶材)を混ぜ合わせた素材でできたインレー。
オールセラミックのインレーと比べると透明感や色調は劣ります。経年的に変色やすり減りなどが起こりますが、見ためも白くきれいに仕上がり、硬すぎないので割れにくく周囲の歯やかみ合う歯を痛めることはありません。
![]()
変色している歯を白くしたい時、すき間のある歯を自然な感じにしたい時など、歯の表面だけを削ってシェル状の薄いセラミックを貼りつける治療法です。
削る量は比較的少ないですが、審美的な回復が可能です。
